Menu

Call Us Today

Cosmetic Crown Lengthening

Aesthetic Crown Lengthening 
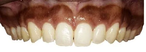
Reveal Your Full Smile with a Simple Gum Reshaping Procedure

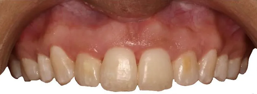
Do your teeth look short or uneven—even though they’re healthy and in the right position? You may simply have excess gum tissue covering part of your natural teeth. This can make your smile appear “gummy” or disproportionate, even if the teeth themselves are normal in size. The good news is that this can be corrected with a procedure called aesthetic crown lengthening, a specialized type of gum contouring performed by Dr. Sakhai.

CCL

What Is Aesthetic Crown Lengthening? 

Aesthetic crown lengthening is a gentle surgical procedure that removes excess gum tissue and sometimes a small amount of bone, to expose more of your natural tooth structure. The goal is to create a balanced, more attractive smile by adjusting the gumline to better match your facial proportions. 

This treatment is often recommended for patients who want to: 

  • Reduce a “gummy” smile 
  • Make short teeth look longer 
  • Even out an uneven gumline 
  • Improve the appearance of their smile before veneers or other cosmetic work 

What to Expect 

Crown lengthening is performed in our office using advanced instruments, laser, and gentle techniques. 

  • We start by carefully numbing the area to keep you completely comfortable. 
  • The excess gum tissue is gently reshaped to reveal more of the tooth surface. 
  • In some cases, a small amount of bone may also be adjusted to create long-lasting results. 
  • Healing is typically smooth, and most patients return to normal activities within a few days.

The Result: A Confident, Natural-Looking Smile

By revealing more of your natural teeth and creating a more symmetrical gumline, aesthetic crown lengthening can dramatically improve the look of your smile—with results that are noticeable immediately after healing.  

Ready to love your smile again? 

Contact our office today to schedule a consultation and see if aesthetic crown lengthening is right for you. 

Still have questions? 
Click here to visit our FAQ page →

1

2

3

4




 


Contact Us

Email, Call or Text Us

Our Location

Find us on the map

Hours of Operation

Our Regular Schedule

Monday:

9:00 AM-4:00 PM (Reception Only)

Tuesday:

8:30 am-5:00 pm

Wednesday:

8:30 am-5:00 pm

Thursday:

8:30 am-5:00 pm

Friday:

8:00 am-2:00 pm

Saturday:

Closed

Sunday:

Closed