Menu

Call Us Today

Gingival Depigmentation

Gingival Depigmentation
Aesthetic Gum Lightening for a Brighter Smile
Some patients naturally have darker-colored gums due to melanin deposits. While this pigmentation is completely normal and harmless, it can make some people feel self-conscious about their smile especially when the gums appear uneven or unusually dark compared to the teeth.

If you’re looking for a more uniform and pink gum appearance, gingival depigmentation may be an excellent option.

What Is Gingival Depigmentation?
Gingival depigmentation is a cosmetic periodontal procedure that gently removes the darker pigmentation from the gums. Using a soft-tissue laser, the pigmented layer is carefully removed, allowing new tissue to grow in lighter and more evenly colored.

This treatment is not about oral health—it's about confidence. Patients often seek it to enhance their smile aesthetics, particularly when they feel their gums draw attention away from their teeth.

Why Do Gums Become Dark?
Dark gums are often a natural result of genetics, especially in individuals with darker skin tones. Other causes can include: 

  • Smoking or tobacco use 
  • Certain medications 
  • Long-term inflammation or trauma 

Regardless of the cause, gum pigmentation does not usually pose a health risk—but if the color concerns you cosmetically, treatment is available.

What to Expect During the Procedure 

  • Comfort-focused care: Local anesthetic is used to numb the area for a pain-free experience. 
  • Minimally invasive:  A Nd:Yag laser is used which gently removes surface pigment without affecting deeper gum structures. 
  • Quick recovery: Healing typically takes about 7–10 days, with minimal discomfort. 
  • Noticeable results: Once healed, your gums will appear lighter, more even, and naturally healthy-looking.

How Long Do Results Last?
In many cases, the results are long-lasting. However, pigmentation may return over time, especially if it's genetically driven. We’ll go over expectations during your consultation and can discuss future touch-ups if needed.

Is Gingival Depigmentation Right for You?
If you’ve been hiding your smile or feeling self-conscious about your gum color, gingival depigmentation can be a simple, effective solution. As a periodontist, Dr. Sakhai provides both the surgical precision and aesthetic eye needed to ensure natural-looking, beautiful results.

Ready to Love Your Smile Again?
Book a consultation today to learn whether gum lightening is right for you. 

Still have questions? 

Click here to visit our FAQ page →

1

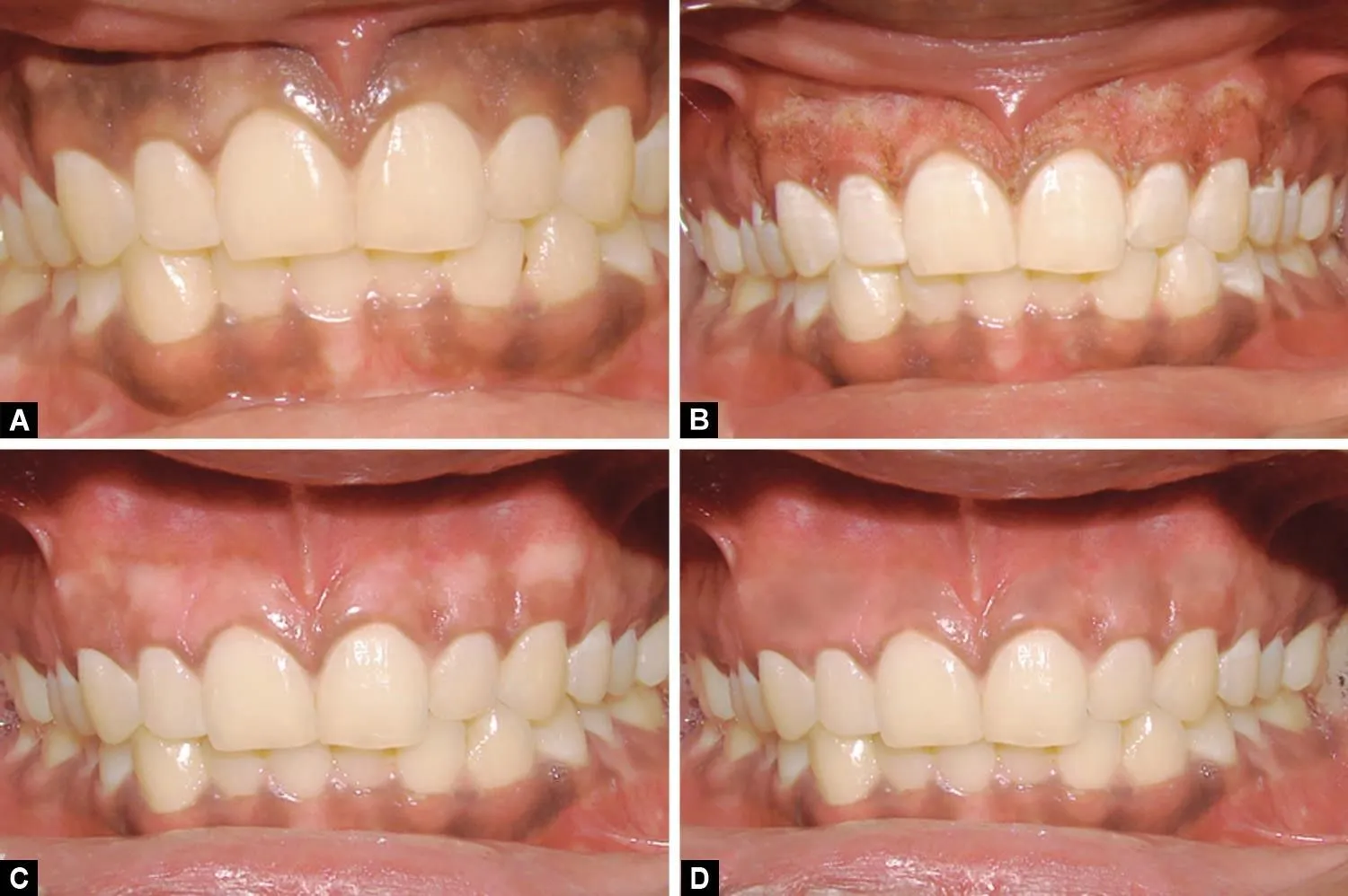
(A) Preoperative view of gingiva; (B) Immediate postoperative view of depigmentation by laser; (C) 1-year postoperative view; (D) Repigmentation after 14 months 

Contact Us

Email, Call or Text Us

Our Location

Find us on the map

Hours of Operation

Our Regular Schedule

Monday:

9:00 AM-4:00 PM (Reception Only)

Tuesday:

8:30 am-5:00 pm

Wednesday:

8:30 am-5:00 pm

Thursday:

8:30 am-5:00 pm

Friday:

8:00 am-2:00 pm

Saturday:

Closed

Sunday:

Closed