Menu

Call Us Today

Gum Grafting

Gum Grafting 

Restore Receding Gums and Protect Your Teeth

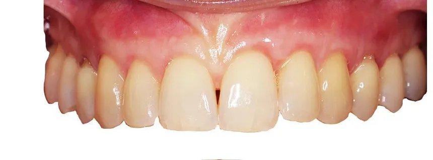
If you’ve noticed that your teeth look longer than they used to—or if your gums are pulling away from the teeth—you may be experiencing gum recession. Gum recession can make your teeth more sensitive and leave the roots exposed, increasing your risk for cavities, bone loss, and further damage.

Fortunately, this can be treated with a procedure called gum grafting, which is designed to restore lost gum tissue and protect your teeth. 

What Is Gum Grafting?
Gum grafting is a specialized procedure that replaces or thickens the gum tissue where recession has occurred. It’s used to: 

  • Cover exposed tooth roots
  • Reduce sensitivity
  • Improve gum health
  • Enhance the appearance of your smile
  • Help prevent further recession or bone loss

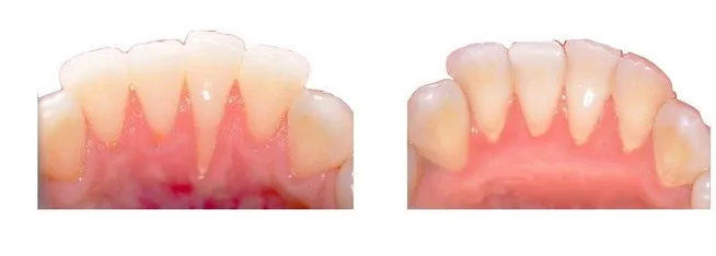
There are several types of gum grafts. Dr. Sakhai will recommend the best option for your needs, which may involve using your own tissue (often from the roof of your mouth) or a safe, medically processed donor graft.

What Causes Gum Recession?
Common causes include:

  • Periodontal (gum) disease 
  • Aggressive brushing 
  • Genetics or thin gum tissue 
  • Teeth grinding or clenching 
  • Orthodontic movement 
  • Poorly positioned teeth or restorations

Left untreated, recession can progress and lead to tooth loss—so early treatment is key.

What to Expect from the Procedure 

Gum grafting is performed in our office using local anesthesia. In most cases, patients experience minimal discomfort and heal comfortably within 1–2 weeks.

  • The procedure typically takes about 60–90 minutes
  • You’ll be given detailed post-op instructions to keep the area clean and promote healing
  • Most patients return to work and normal routines the next day

Dr. Sakhai takes a conservative, precise approach to grafting—ensuring results that are both functional and natural-looking.

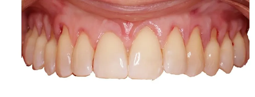
The Result: Healthier Gums, Protected Teeth, and a More Balanced Smile
A successful gum graft helps reduce sensitivity, protect the tooth roots, and restore the natural gumline for a healthier, more confident smile.

If you’ve been told you have gum recession, or if you’re concerned about your gums, let’s talk. 

Schedule a consultation to find out if gum grafting is right for you. 

Still have questions? 

Click here to visit our FAQ page →

3

4

Contact Us

Email, Call or Text Us

Our Location

Find us on the map

Hours of Operation

Our Regular Schedule

Monday:

9:00 AM-4:00 PM (Reception Only)

Tuesday:

8:30 am-5:00 pm

Wednesday:

8:30 am-5:00 pm

Thursday:

8:30 am-5:00 pm

Friday:

8:00 am-2:00 pm

Saturday:

Closed

Sunday:

Closed